-
The curious case of wobblers
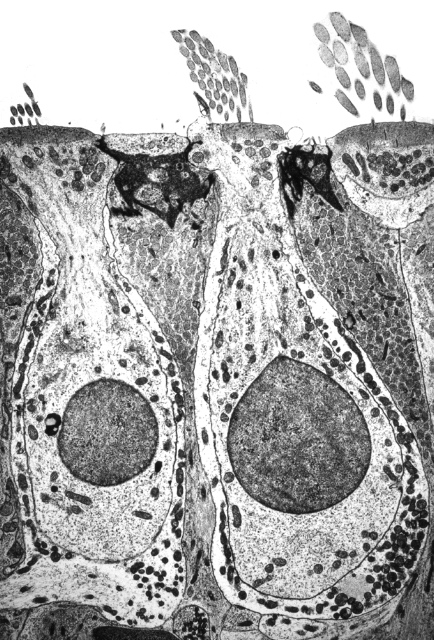
When people get bilateral vestibular damage, they suffer crippling vertigo. Sensory substitution is a remarkably effective treatment.
-
Multi-Arduino projects with PlatformIO
Arduino is a fantastic microcontroller platform, but the IDE can feel quite limiting once you go beyond “Hello world” projects. If you’ve outgrown the Arduino IDE, consider PlatformIO. PlatformIO is a a powerful IDE for Internet of Things (IoT) devices build on top of VSCode, with some great Arduino-specific features: Supports Arduino, ARM Cortex, and many…
-
Flicker fusion threshold circuit with Arduino
I built an Arduino-based circuit to measure flicker fusion threshold.
-
Enhanced spatial resolution during locomotion
Seeing is expensive – how does the brain optimize neural coding so it can see clearly when it matters? [Image courtesy LadyDragonFlyCC CC BY 2.0]
-
ipython notebooks on machine learning
I finally had a chance to do something I’ve been meaning to do for a long time: post some notebooks on machine learning on GitHub. IPython notebooks are a great way to mix text, math, and code. I’ve been writing ipython notebooks for a while to teach myself some machine learning concepts; there’s no better…
-
5 easy pieces: How Deepmind mastered Go
Deepmind built an AI that masters Go. How did they do it? A technical introduction.



